El Molluscum contagiosum es una enfermedad que padecen únicamente los seres humanos, de características benignas y producida por un virus. No tiene nada que ver, a pesar de su nombre, con los moluscos y su calificativo latino contagiosum hace referencia a su carácter infectocontagioso.
Se produce por contacto directo con personas infectadas o con objetos contaminados y suele afectar a la población en edad escolar, produciéndose en determinadas situaciones verdaderas epidemias.
La enfermedad se caracteriza por presentar un periodo de incubación largo, de aproximadamente seis semanas, durante los cuales el paciente desconoce que ha sido infectado por el virus del Molluscum contagiosum.
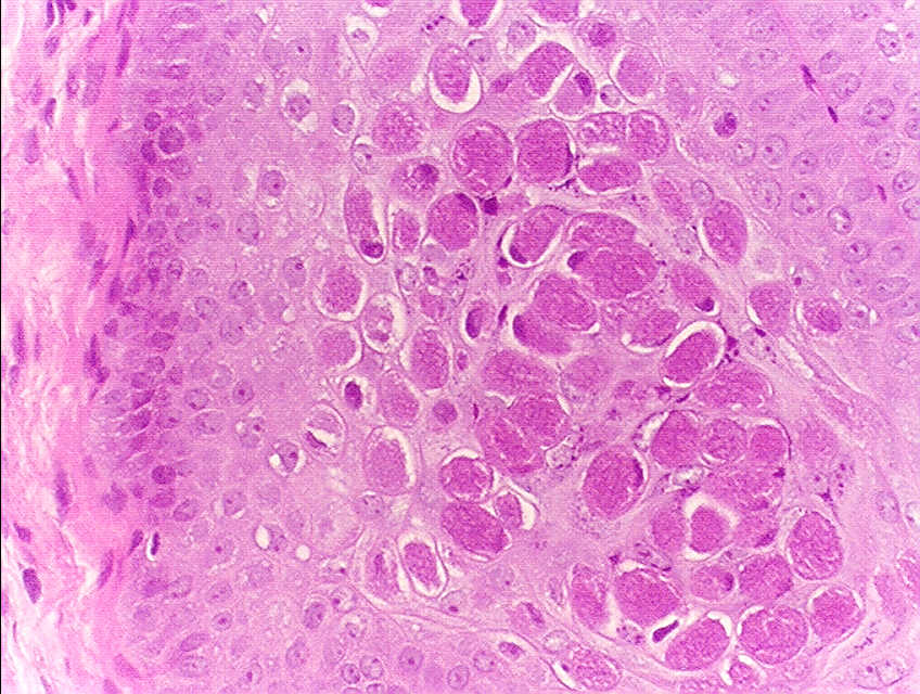
A partir de ese momento, en las zonas de inoculación, es decir, en aquellas zonas en las que el germen entró en contacto con la piel, aparecen lesiones cutáneas del tipo de las pápulas, habitualmente translúcidas, en las que existe un centro deprimido con un orificio central, por el cual, en ocasiones puede aparecer un material escamoso.
El paciente suele consultar a su médico de cabecera porque, de forma repentina, ha observado unas lesiones cutáneas al ducharse o al asearse en determinadas zonas del cuerpo. Estas lesiones ni son antiestéticas, por lo general, ni pican ni duelen ni suelen eliminar sustancias líquidas al exterior.
La infección tampoco se suele acompañar de sintomatología general, como pueda ser la fiebre o manifestaciones respiratorias o de otro aparato u órgano de nuestro organismo; así pues la sintomatología se limita a la aparición de unas lesiones cutáneas que anteriormente no existían.
